〒177-0054 東京都練馬区立野町7-9 1F
JR「吉祥寺駅」中央口よりバス7分
JR「吉祥寺駅」より徒歩12分

電話での問合せ・無料相談予約

0120-597-547
診療時間
月曜・火曜・木曜・金曜 9:30~13:00/14:30~19:00
土曜 9:30~13:00/14:30~17:00
日曜 10:00~13:00
休診日
水曜・祝日(日曜は隔週で休診です)
※講習会参加などのため、診療を行う日曜は毎月変動します

口ゴボの矯正で、
横顔は変わります

上下顎前突(じょうげがくぜんとつ)とも呼ばれる口ゴボは、上下の前歯が前方に飛び出して見える症状。

口ゴボを矯正すると、前方に飛び出した唇の位置が下がり、横顔のシルエット(Eライン)がすっきりと整います。当院のマウスピース矯正(インビザライン)で、こうした変化を実現可能です。

※上記はイメージ画像です

また歯がガタガタの叢生乱杭歯)や、八重歯を併発している患者さんも少なくありませんが、こうした症状も口ゴボの矯正で治せます。

口ゴボの矯正
治療法を間違えると治りません

口ゴボの矯正治療にはいくつかの方法がありますが、治療法によって前歯を引っ込められる量が異なることをご存知でしょうか。

前歯だけの矯正で引っ込められるのは、実は3mm限界です。

あなたの口ゴボは、3mmで治りますか?

口ゴボの弊害

口ゴボを治療せずに放置していると、以下のようにさまざまな問題がおきてしまいます。
 

見た目の印象が悪い

口ゴボの患者さまは、口元がもっこりして、分厚く大きく見えてしまいます。

そのため顔立ちに対する周囲の印象が悪くて、心ない言葉を投げかけられて落ち込んだ方も少なくないと思います。

また口が半開きになりやすいため、「だらしない」とか「緊張感がない」という印象を持たれることもあります。

 

下あごの梅干しシワ

無理に口を閉じようとすると、下あごのオトガイ筋に力が入り、あごにボコボコと「梅干しシワ」ができてしまいます。

同時に口角が下がるため、本人は無表情のつもりでも、不機嫌な印象を与えがち。

周囲からは「怒っているのかな」「不満があってふてくされている」「性格がキツそう」と誤解され、人が寄り付きにくくなる原因にもなってしまいます。

 

ドライマウスで口臭の原因

前歯が突出していると唇が閉じにくいため、お口の中が乾燥して細菌が繁殖しやすくなるため、口臭が発生しやすくなります。

こちらが原因で、周囲の人から距離を置かれることもありえます。

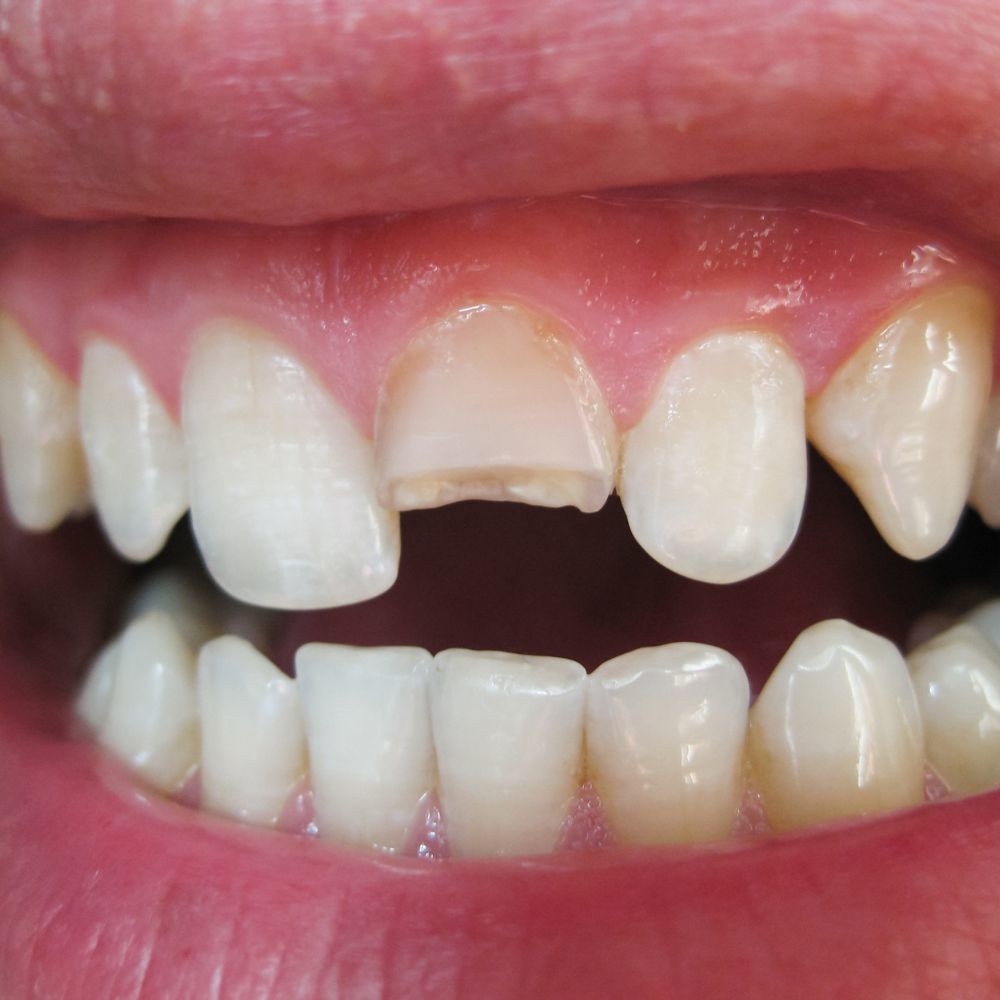
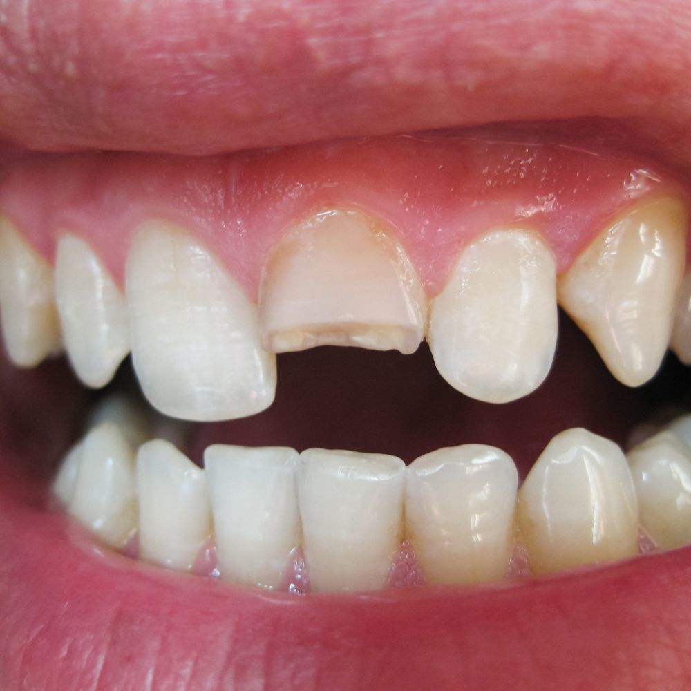
転んだ際に前歯が折れやすい

歯が出ているため、転んだり、何かにぶつかったりした際に、突出している前歯を強打しやすく、欠けたり折れたりするリスクが高くなります。

噛み合わせがおかしくなる

口ゴボの原因が奥歯にある場合、特定の奥歯に過度な力が加わる結果、奥歯の位置高さが変わってしまい噛み合わせが悪くなってしまいます。

 

顎関節症になるリスクが高い

また奥歯への過度な負担は、あご関節に不自然な力を加え、バランスを損ねてしまいます。

やがて奥歯の噛み合わせが悪化して、ますますあごの関節への負担が増えていき、やがて顎関節症を発症してしまうのです。

口ゴボの原因と失敗例
(1)小顔であごが小さい

小顔であごが小さいので口ゴボ

小顔あごが小さい方は、歯がきれいに並ぶスペースが足りません。

狭いスペースに歯を詰め込むため、前歯が前方に押し出されて口ゴボになってしまうのです。

口ゴボの矯正は決して簡単な治療ではありません。以下のような失敗治療になってしまうことがあるので注意が必要です。

小顔だから口ゴボ治らない
——3mmの限界

矯正したのに口ゴボが治らない。これは小顔の方に多い失敗です。

小顔の方は顎が小さいので、歯を動かすためのスペースがもともと限られています。口ゴボの矯正は、前に出た前歯を引っ込める治療ですが、引っ込めるには引っ込めたい分だけのスペースが必要です。

では、口ゴボを改善するにはどれくらい引っ込めればいいのか。横顔の変化を実感できるのは、最低でも前歯が4〜5mm引っ込んだとき。重度の口ゴボなら、7〜8mmは必要です。

しかし、前歯だけの矯正でスペースを作る方法は、歯と歯の間をわずかに削る方法(IPRといいます)しかありません。

安全に削れる量は1本あたり約0.5mm。前歯だけの矯正で対象となる歯は6本(左右3本ずつ)ですから、0.5mm×6本=合計3mmが限界です。

最低でも4〜5mm、重度なら7〜8mm必要なのに、3mmしか引っ込められない。結果、治療を終えても口ゴボ残ったまま。「矯正したのに変わらなかった」という失敗が起きます。

しかもこの失敗は、治療期間が足りなかったのではなく、そもそもその治療法では治せなかったという問題です。やり直すには別の治療法で一からスタートすることになり、追加の費用と時間がかかります。

スペースを作ろうと歯列を拡大
口ゴボ悪化した

先ほどご説明した通り、小顔で顎が小さい方はスペースが足りません。そこでスペースを確保するために、前歯しか動かせない格安矯正でよく用いられるのが、拡大床という治療法です。

拡大床

ネジの力を利用して歯を外側へ押し広げることで、前歯を並べるスペースを確保します。

ただ拡大床は、歯列を広げすぎないよう細心の注意を払う必要がある、とても難しい治療法

経験不足の歯科医師では、過度に歯を押し広げてしまい、口ゴボかえって酷くなることがあります。

またこの拡大床は奥歯を左右に広げようとしますから、経験不足の歯科医師では、奥歯の位置がおかしくなってしまうことも。

そのため噛み合わせが悪くなって、食事に支障をきたす、という失敗症例もよく耳にします。

抜歯したけど
奥歯を動かせずすきっ歯

歯並びの乱れが重度の場合、今まで述べた方法では充分なスペースが確保できないため、抜歯が必要になることがあります。

具体的には前から4番目の歯を抜いて、前歯を並べるスペースを生み出します。

広いスペースを確保できるため、歯をキレイに並べられることができ、より美しい口元をご希望の方には抜歯矯正がおすすめです。

しかし抜歯後のすき間を埋めるためには、前歯だけでなく、奥歯も動かさなければいけません。

ところがこの奥歯を動かすのが一苦労。極めて高いスキルと経験が求められます。

そのため歯科医師の経験が浅いと奥歯をうまく動かせずに、歯と歯のあいだが空いたすきっ歯になることもあるのです。

歯を削りすぎて、すきっ歯

スペース確保の方法として前歯しか動かせない格安矯正でよく用いられるのが、先ほどもご説明したIPR(歯と歯のあいだを削る)という治療法。

IPRで削る量は、約0.1〜0.5mmと少量ですので、通常は健康への心配はありません。

でも大きなスペースを必要とする中度重度の治療では、経験不足の歯科医師が無理して削りすぎてしまう場合があります。

そして歯を必要以上に削りすぎると、知覚過敏になったり、すきっ歯になったりしてしまうのです。

ひどい場合には、歯が細くなりすぎて見た目の印象がピアノの鍵盤みたい、という失敗治療に終わることもあるのでご注意ください。

奥歯を奥に動かしたスペースで
口ゴボを引っ込めます

上記のような失敗を起こさないために当院では、奥歯奥側移動してスペースを確保できるマウスピース矯正「インビザライン」をおすすめしています。

格安矯正では奥歯を動かせないため、口ゴボをきれいに矯正することはできません。

またワイヤー矯正も奥歯を奥側に動かすのは苦手です。

その点インビザラインでは、親知らずを抜いたスペースに一番奥の歯を動かします。

それにより空いたスペースに次の奥歯を動かし、さらに次の奥歯を動かします。

こうして順繰りに奥へと歯を移動させることで、4〜5mm以上のスペースを確保して、前歯をきれいに並べられるのがインビザラインの優れたポイント。

この方法なら親知らずを抜いた広いスペースを利用できますから、あごが小さくて口ゴボでお悩みの患者さまでも治療可能です。

口ゴボが改善されると、もともとの小顔が活きた、すっきりとした小顔美人になります。

経験28年、実績880症例
重度の口ゴボもお任せください

当院で口ゴボの矯正治療を担当するのは、院長である私です。

私が手がけた矯正治療の実績は、累計で880件にのぼり、28年に渡る矯正経験の中で、マウスピース矯正とワイヤー矯正の両方を手がけてきました。

2018年からは「グローバル・インビザライン・ギャラリー」の審査員に選ばれ、世界中の優秀な矯正症例を審査しています。

おかげさまで、口ゴボの患者さまが多数来院されるようになり、奥歯動かす矯正の経験も豊富に積むことができました。

重度難症例の治療にも自信を持って取り組み、成功症例を積み重ねておりますので、安心してお任せいただければと思います。

  • 私の口ゴボは、どう変わるの?
  • 私の口ゴボは、どうやって治すの?
  • 治療費や治療期間は?

相談会ではシミュレーション動画で
未来の歯並びを確認できます

無料の矯正相談を実施中。矯正経験28年、累計症例実績880件の実績豊富な院長に、ぜひお気軽にご相談ください。

口ゴボの原因と失敗例
(2)奥歯に前歯が押し出される

斜めの奥歯
前歯が押し出されて口ゴボ

奥歯斜めに生えていると、食べ物を噛む度に奥歯に斜めの力が働き、徐々に傾きがひどくなっていきます。

この状態を放置すると、次々と隣の歯を斜めに押し出していき、最後には前歯押し出されて、口ゴボや出っ歯、あるいはガタガタの歯並びになってしまうのです。

「昔に比べて最近前歯出てきた」という方はこのケースかもしれません。

ただし、この奥歯原因の口ゴボは治療が難しいため、以下のような様々な失敗が起こりえます。

スペース不足で
口ゴボが治らない

奥歯が斜めに傾いて前歯を押し出していると、前歯を引っ込めるスペースがありません。

本来は斜めに傾いた奥歯をまっすぐにして、前歯を引っ込めるスペースを作るべき。

でも前歯しか動かせない格安矯正では、奥歯を動かしてスペースを確保するのではなく、前歯だけを動かして治療を行います。

そのためスペースが足りないまま治療期間が終了。

結局、前に突き出た口元引っ込めることができなかった、という失敗に終わってしまうことが少なくないようです。

必要以上に歯を削ってしまう

そこでスペース確保する方法としてよく用いられるのが「IPR」。

歯と歯の間を削って前歯を並べるスペースを確保する治療法で、前歯しか動かさない格安矯正ではよく行われます。

でも実は、斜めの奥歯をまっすぐにしてスペースを確保すれば、歯を削る量は最小限で済みます。

あるいは奥歯を動かしてスペースを確保すれば、歯を削る量を減らすことができます。

つまり前歯しか動かさない矯正治療だと、必要な量以上に歯を削ってしまうことがあるのです。

必要ないのに歯を抜いてしまう

そして中には、抜かなくてもいい歯を抜いてスペースを確保するという、ケースもありえます。

歯並びの乱れが大きい場合、前から4番目の歯を抜いて、前歯を並べるスペースを生み出します。

でも別の方法でスペースが確保できれば、抜かず治療できるかもしれません。

つまり斜めになった奥歯まっすぐにして、さらに奥歯を奥側に移動して、前歯を並べるスペースを確保するのです。

この方法で充分にスペースが確保できれば、歯を抜かずに済むかもしれません。

もちろんお口の状況によっては抜歯が必要になりますが、奥歯を動かすことで抜歯しなくても済むケースも多いですから、ぜひ経験豊富な歯科医に相談してみましょう。

治療したのに口ゴボ戻ってしまう

奥歯の傾きを矯正しないまま、前歯だけ無理矢理整えたとしても、奥歯からの圧力は変わりません。

そのため治療後も前歯が奥歯から押され続けます。

やがて前歯が斜めの奥歯に押し出されて、口ゴボが再発してしまう、というケースも決して少なくないのです。

根本原因の奥歯の傾きを矯正して
口ゴボを治療します

こうした症状の場合、当院では、まず最初に奥歯傾きをまっすぐに矯正します。

奥歯の治療が得意な「インビザライン」を利用して、奥歯が斜めに傾いている、という根本原因をまずは取り除くのです。

これにより前歯を引っ込めるスペースを確保し、かつ治療後の口ゴボの再発を防止します。

奥歯の移動でスペース確保して
口ゴボを治療します

またインビザラインは、奥歯の傾きをまっすぐにするだけでなく、奥歯を奥側に移動することもできます。

先ほどお話ししたように、格安矯正では奥歯を動かせないため、口ゴボをきれいに矯正することはできません。

その点インビザラインでは、親知らずを抜いたスペースに奥歯を移動させることで、前歯をきれいに並べるスペースを確保できます。

この方法なら親知らずを抜いた広いスペースを利用できますから、口ゴボでお悩みの患者さまでも治療が可能なのです。

経験28年、実績880症例
重度の口ゴボもお任せください

当院で口ゴボの矯正治療を担当するのは、院長である私です。

私が手がけた矯正治療の実績は、累計で880件にのぼり、28年に渡る矯正経験の中で、マウスピース矯正とワイヤー矯正の両方を手がけてきました。

2018年からは「グローバル・インビザライン・ギャラリー」の審査員に選ばれ、世界中の優秀な矯正症例を審査しています。

おかげさまで、口ゴボの患者さまが多数来院されるようになり、奥歯動かす矯正の経験も豊富に積むことができました。

重度難症例の治療にも自信を持って取り組み、成功症例を積み重ねておりますので、安心してお任せいただければと思います。

  • 私の口ゴボは、どう変わるの?
  • 私の口ゴボは、どうやって治すの?
  • 治療費や治療期間は?

相談会ではシミュレーション動画で
未来の歯並びを確認できます

無料の矯正相談を実施中。矯正経験28年、累計症例実績880件の実績豊富な院長に、ぜひお気軽にご相談ください。

その他の
失敗例

矯正治療中に
虫歯になってしまう

マウスピース矯正の治療中は、虫歯になりやすいことをご存知でしょうか?

普段私たちの口の中は、唾液によって常に洗浄されています。ところがマウスピースを装着すると、唾液が歯の表面に行き届かない状態に。

歯に付着した汚れが洗い流されず、知らないうちに虫歯になっていた、ということも少なくありません。

このような失敗談は、矯正専門医院で治療を受けた方からよく聞きます。矯正だけ注力して、虫歯の予防にまで配慮していないことがあるからです。

予防歯科にも力を入れる
「総合歯科医院」

一方、当院のような矯正だけでなく一般歯科治療も提供する「総合歯科医院」であれば、虫歯や歯周病の予防にも力を入れています。

矯正中に歯のクリーニングをご提供するなど、患者さまの大切な歯を虫歯や歯周病からお守りします。

 
このような失敗治療にならないよう
当院では「インビザライン」による治療に
力を入れています

口ゴボにおすすめの
矯正治療

口ゴボの治療として当院が最適だと考えているのが、マウスピース矯正「インビザライン」。

透明で目立たない、痛みが少ない、いつでも装置を外せる、お食事や歯磨きをいつも通りに行えるなど、他の治療法にはないメリットが豊富です。

当院のインビザライン治療については以下のページで詳しくご紹介しております。ぜひご覧ください。

インビザラインの最大の魅力は、「奥歯奥側に動かせる」こと。前歯しか動かさない格安矯正では、そもそも口ゴボを治せなかったり、余計に悪化してしまうリスクが高いのですが、インビザラインならその心配はありません。

インビザラインでは、親知らずを抜いたスペースに一番奥の歯を動かします。

それにより空いたスペースに次の奥歯を動かし、さらに次の奥歯を動かします。

こうして順繰りに奥へと歯を移動させることで、前歯引っ込めるスペースを確保できるというのがインビザラインの優れたポイント。

この方法なら親知らずを抜いた広いスペースを利用できますから、小顔であごが小さい患者さんでも、前歯引っ込める矯正が可能なのです。

なお奥歯を奥側へ動かすこの治療法は「インビザライン」でしか行えません。格安矯正はもちろん、ワイヤー矯正でもできないのでご注意ください。

 

  • 一部の費用しか記載されていないため、総額いくらか分からない
  • 軽度の費用しか記載されておらず、重度の費用が分からない

こうした疑問をお持ちの方も多いのではないでしょうか。

そこで当院では、矯正治療にかかるすべての費用を、軽度重度別に分かりやすく記載しております。

当院では、月々わずか支払いだけですむ、デンタルローンによる分割払いをご用意しました。

分割払いなら多額費用を最初に用意することなく、すぐに治療を開始することが可能です。

口ゴボを治せない「前歯のみ」を動かす格安矯正は、当院では取り扱っておりません。

格安矯正 ごく
軽度
前歯
のみ
当院での
取り扱いなし

 

当院では患者さまの症状に合わせて「前歯と奥歯の両方」を動かせるマウスピース矯正「インビザライン」で治療を行っています。

インビザライン
ライト
軽度 前歯と
奥歯 
54万7800円
(上下)
月々
6,000円
インビザライン
フル
コンプリヘンシブ
重度 前歯と
奥歯 
87万7800円
(上下)
月々
9,600円

(税込)

なお、口ゴボの患者さまの場合、フル(コンプリヘンシブ)での治療になるケースが大半です。

他院では別料金なことが多い

  • 相談料
  • 月々の調整料
  • 診断料
  • 治療終了後のリテーナー

をすべて無料といたしました。 

医療費控除が使えます

マウスピース矯正は医療費控除を利用できます。

年収360万円の方が54万8千円の治療を受けた場合、13万4千円が還付されることになります。つまり、実質の治療費は約41万4千円です(概算)。

  • 私の口ゴボは、どう変わるの?
  • 私の口ゴボは、どうやって治すの?
  • 治療費や治療期間は?

相談会ではシミュレーション動画で
未来の歯並びを確認できます

無料の矯正相談を実施中。矯正経験28年、累計症例実績880件の実績豊富な院長に、ぜひお気軽にご相談ください。

続いて当院の特徴についてご紹介いたします

当院の矯正治療の
特徴

当院では平日は19:00まで診療しています。

また土曜日は9:30~17:00まで、隔週ではありますが日曜日も10:00~13:00まで診療しております。

矯正治療では、一般的に奥歯先に動かすため、前歯の見た目が変化するのは治療の後半。

たとえば、2年の矯正期間なら、最後の半年くらいでようやく前歯が整います。

その点当院では「なるべく前歯先に整える」矯正治療を提供しています。

完璧ではないにしろ、矯正治療の前半で、一日でも早くきれいな前歯をお届けするように心がけています。

通常は3~5万円ほどかかる精密検査を、当院では8,800円(税込)でご提供しています。

さらに、精密検査を受けられた方はマウスピース矯正を無料で体験することが可能です。

「マウスピースのつけ心地はどうなんだろう?」といったご不安をお持ちの方は、ぜひお試しください。

「もう年齢的に遅いのでは」「ブリッジインプラントがあるから無理かも」──40代・50代の方からよくいただく不安です。

実際、この年代の矯正治療は難度が上がるため、他院で断られるケースも少なくありません。

その点当院では、インビザラインドクターの資格を保有し、日本マウスピース矯正歯科研究会の東京都理事も歴任する院長が、数多くの40代・50代の矯正治療を成功に導いてきました。

矯正治療に「遅い」はありません。まずは、無料相談にお越しいただければと思います。

矯正後の歯並びはどうなるんだろう…。本当に理想の口元が手に入るの?そんな不安を抱える方もいらっしゃるかと思います。

当院では、最新の口腔内スキャナーを使用した歯並びのシミュレーションを2,200円でご提供しています。

これにより、治療中の歯の動きや矯正後の歯並びをイメージすることが可能です。

他院で断られた
中度重度もお任せください

当院が採用しているマウスピース矯正インビザラインなら、中度重度の患者さまにも対応可能。

他院で「治療できない」と断られた患者さまもお気軽にご相談ください。

院長をはじめ多くのスタッフが、矯正治療を受けています。

元患者として苦労したからこそ、患者さまの不安や悩みに寄り添えます。

また自分自身がきれいな歯並びを手に入れたからこそ、マウスピース矯正を自信持ってお勧めすることができるのです。

私たちの役割は、患者さまの歯並びを整え、患者さまに笑顔を取り戻していただくこと。

そのために最も大切なのが、患者さまのお話をしっかりと伺うことなのです。

無料の矯正相談や治療時に、お悩みやご希望、ご質問など遠慮なくお聞かせください。どんな些細なことでも構いません。

まずはそのモヤモヤを一緒に解消しましょう。

マウスピース矯正治療の
流れ

最後に、マウスピース矯正治療がどのような流れで進むのかをご紹介いたします。具体的なイメージをつかむことで、矯正治療をより身近に感じていただけたらと思います。

無料相談
(カウンセリング)

精密検査

治療計画
(クリンチェック)

ご契約

治療開始

治療の経過観察

治療終了

保定期間に移行

  • 私の口ゴボは、どう変わるの?
  • 私の口ゴボは、どうやって治すの?
  • 治療費や治療期間は?

相談会ではシミュレーション動画で
未来の歯並びを確認できます

無料の矯正相談を実施中。矯正経験28年、累計症例実績880件の実績豊富な院長に、ぜひお気軽にご相談ください。

当院の矯正治療

  • 私の歯並びは美しく整うの?
  • 治療費や治療期間の目安は?
  • 顔も本当にキレイになるの?

無料矯正相談を実施中です。実際にお口の中を拝見し、歯並びについての疑問にお答えします。

診療時間
9:30~13:00
14:30~19:00

休診日:水曜・祝日(日曜は隔週で休診です)
※講習会参加などのため、診療を行う日曜は毎月変動します
◆10:00~13:00 ▲14:30~17:00

JR「吉祥寺駅」中央口よりバス7分、JR「吉祥寺駅」より徒歩12分
アクセスマップへ

診療時間

 
午前
午後

午前   9:30~13:00 ◆10:00~13:00
午後 14:30~19:00 ▲14:30~17:00
休診日:水曜・祝日
(日曜は隔週で休診です)
※講習会参加などのため、診療を行う日曜は毎月変動します

アクセス

〒177-0054

東京都練馬区立野町7-9 1F